প্রিন্ট এর তারিখঃ ডিসেম্বর ৯, ২০২৫, ৩:০৩ পি.এম || প্রকাশের তারিখঃ ডিসেম্বর ১৬, ২০২৩, ১:২৯ এ.এম
নাক-মুখ চেপে হাঁচি দেওয়ায় ছিঁড়ে গেল শ্বাসনালি এক ব্যক্তির
অনলাইন ডেস্ক :
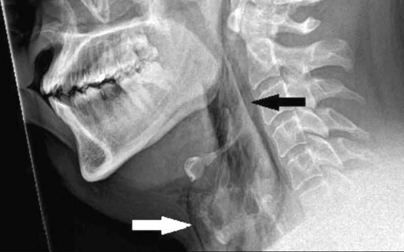
হাঁচি বন্ধ করতে গিয়ে এক ব্যক্তির শ্বাসনালি ফুটো হয়ে গেছে। এই ঘটনার পর চিকিৎসকরা সতর্কতা জারি করেছেন। ৩০ বছর বয়সী ওই ব্যক্তিকে দ্রুত স্কটল্যান্ডের ডান্ডিতে নাইনওয়েলস হাসপাতালে নিয়ে যাওয়া হয়েছিল। ইউনিভার্সিটি অব ডান্ডির চিকিৎসকরা বলেছেন, হাঁচির সময় মুখ ও নাক উভয়ই বন্ধ করলে ওপরের শ্বাসনালিতে চাপ প্রায় ২০ গুণ বেড়ে যেতে পারে।
এর ফলে কানের পর্দা ফেটে যাওয়া, অ্যানিউরিজম, এমনকি বুকের পাঁজরের হাড়েও আঘাত লাগতে পারে।নাম প্রকাশে অনিচ্ছুক ওই ব্যক্তি একই সঙ্গে নাক চেপে ও মুখ বন্ধ করে হাঁচি দেওয়ার পর গলায় তীব্র ব্যথা অনুভব করেন। হাসপাতালে স্ক্যান করার পর দেখা যায়, তাঁর শ্বাসনালিতে ২ মিলিমিটারের মতো জায়গা ছিঁড়ে গেছে। ঘটনাটি মেডিক্যাল জার্নাল বিএমজে কেস প্রতিবেদনে নথিভুক্ত করা হয়েছে।
হাঁচির সময় গাড়ি চালাচ্ছিলেন তিনি। অ্যালার্জির কারণে তাঁর গলায় জ্বালা করছিল তখন। এই ঘটনার পর চিকিৎসকরা সতর্ক করে বলেছেন, নাক চেপে ধরে এবং একই সঙ্গে মুখ বন্ধ করে হাঁচি না দিতে। ওই ব্যক্তির অস্ত্রোপচারের প্রয়োজন ছিল না।
তাঁকে পর্যবেক্ষণের জন্য হাসপাতালে রাখা হয়েছিল। এরপর অ্যালার্জি ও ব্যথানাশক ওষুধ লিখে ছেড়ে দেওয়া হয় । এ ছাড়া দুই সপ্তাহের জন্য ভারী শারীরিক পরিশ্রম এড়াতে বলেছিলেন চিকিৎসক। পাঁচ সপ্তাহ পরে আরো একটি স্ক্যান করে দেখা যায় ক্ষত সেরে গেছে।প্রতিবেদনটির প্রধান লেখক ড. রাসাদস মিসিরোভস বিবিসি স্কটল্যান্ড নিউজকে বলেছেন, মানুষের হাঁচি দেওয়া উচিত।
কারণ হাঁচি নাকের ভেতর থেকে বিরক্তিকর সব পদার্থ বের করে দেওয়ার প্রাকৃতিক প্রতিরক্ষামূলক ব্যবস্থা। তিনি বলেন, ‘হাঁচি দেওয়ার সময় হাত বা কনুই দিয়ে আলতোভাবে নাক ঢেকে দেওয়া উচিত।’আচমকা শ্বাসনালি ছিদ্র হয়ে যাওয়াকে ডাক্তারি ভাষায় ‘স্পন্টেনিয়াস ট্রিকি পারফোরেশন’ বলে। এটি বিরল এবং এতে মৃত্যুঝুঁকিও রয়েছে। ২০১৮ সালেও এক ব্যক্তি হাঁচি ধরে রাখার চেষ্টা করলে শ্বাসনালি ছিঁড়ে যায়। সূত্র : বিবিসি
<p>পরিচিতি</p><p>প্রকাশক ও সম্পাদক - মোঃ সালমান শাহেদ</p><p>বার্তা সম্পাদক - সজীব কুমার নন্দী</p><p>যোগাযোগ</p><p>ঢাকা অফিস: ৯৫ আজিজ ম্যানশন, (৩য়) তলা, বীর উত্তম জিয়াউর রহমান সড়ক, কাকলী বনানী ঢাকা-১২১৩ বাংলাদেশ। </p><p>১৩৪ এন.এস.রোড, কুষ্টিয়া - ৭০০০, বাংলাদেশ।</p><p>ফোন - +৮৮০-১৮৩১-৩৬৬০১২</p><p>ই-মেইল - info@desherpotrika.com</p><p>সতর্কতা</p><p>এই ওয়েবসাইটের কোনো লেখা, ছবি, অডিও, ভিডিও অনুমতি ছাড়া ব্যবহার ও কপি করা বেআইনি।</p><p>© কপিরাইট ২০১৮ । www.desherpotrika.com</p>
Copyright © 2025 দেশের পত্রিকা - দেশের পত্রিকা দেশের কথা বলে. All rights reserved.