

অনলাইন ডেস্ক : ফ্লোরিডায় বিরল মস্তিষ্ক খেকো অ্যামিবায় আক্রান্ত এক ব্যক্তিকে শনাক্ত করা হয়েছে। ফ্লোরিডার স্বাস্থ্য বিভাগ জানিয়েছে, হিলসবোরো কাউন্টির এক অধিবাসী নায়েগ্লেরিয়া ফাওলেরি নামের ওই ক্ষতিকর অ্যামিবায় আক্রান্ত হয়েছেন। এরইমধ্যে ওই এলাকায় সতর্কতা জারি করা হয়েছে।
সাধারণত যুক্তরাষ্ট্রের দক্ষিণাঞ্চলীয় অঙ্গরাজ্যগুলোতে এ অ্যামিবায় আক্রান্ত হতে দেখা গেলেও ফ্লোরিডার ক্ষেত্রে তা বিরল। সেখানে ১৯৬২ সাল থেকে এ পর্যন্ত এমন ৩৭টি ঘটনা দেখা গেছে।
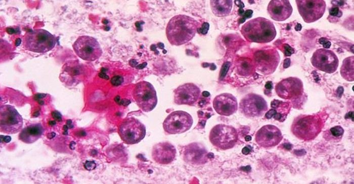
এই আণুবীক্ষণিক এক-কোষী অ্যামিবা মানুষের মগজে সংক্রমণ ঘটিয়ে থাকে, এবং এটা সাধারণত প্রাণঘাতী হয়। গরম মিষ্টি পানিতে বাস করা এই অ্যামিবা নাকের ভেতর দিয়ে মানুষের দেহে ঢোকে। তবে এটা একজন থেকে আরেকজনের দেহে ছড়ায় না বলে কর্মকর্তারা বলছেন।
এই বিপজ্জনক অ্যামিবার ব্যাপারে স্বাস্থ্য বিভাগ ফ্লোরিডার হিলসবরা কাউন্টির বাসিন্দাদের সতর্ক করে দিয়েছে। তারা জনগণকে বলছে, পানির কল বা অন্য কোন উৎস থেকে পানি যেন কোন মতেই নাকে প্রবেশ না করে।
এই অ্যামিবায় যারা আক্রান্ত হয় তাদের মধ্যে জ্বর, মাথা ঘোরা, মাথাব্যথা এবং বমির উপসর্গ দেখা যায়। পাশাপাশি তাদের ঘাড় শক্ত হয়ে যায় এবং এক সপ্তাহ সময়ের মধ্যেই রোগী মারা যায়।
১৯৬০ সালে অস্ট্রেলিয়ার একটি হ্রদের পানিতে প্রথম এই মস্তিষ্ক-খেকো অ্যামিবাদের সন্ধান মিলেছিল। দ্রুত কোষ বিভাজন করে অ্যামিবারা। সেজন্য বট ওয়াটার লেক বা উষ্ণ প্রস্রবণগুলোতে এদের দেখা মেলে অনেক বেশি। শিল্পাঞ্চলের কাছাকাছি এলাকায়, দূষিত পানিতেও দেখা মেলে এদের। দীর্ঘদিন ধরে পরিষ্কার না করা সুইমিং পুল বা ক্লোরিনেটেড নয় এমন বদ্ধ পানিতে দ্রুত ছড়ায় অ্যামিবারা। এককোষী হলেও এদের প্রভাব মারাত্মক। মানুষের স্নায়ুকোষকে নিমেষে ক্ষতিগ্রস্ত করতে পারে এই অ্যামিবারা।সূত্র- বিবিসি।














